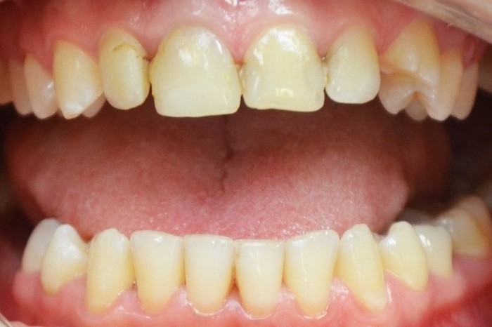
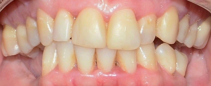
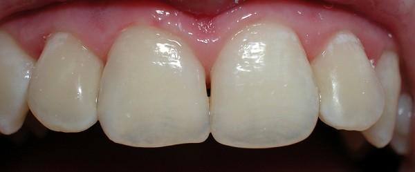
Cazul clinic №1
Fațete ceramice (sau veneers, vinire)
Protezarea dinților cu ajutorul fațetelor cu restabilirea morfologiei dinților.
Datorită imitării elementelor de smalț pe suprafața incizală, fațetele aplicate dau aspectul dinților naturali.
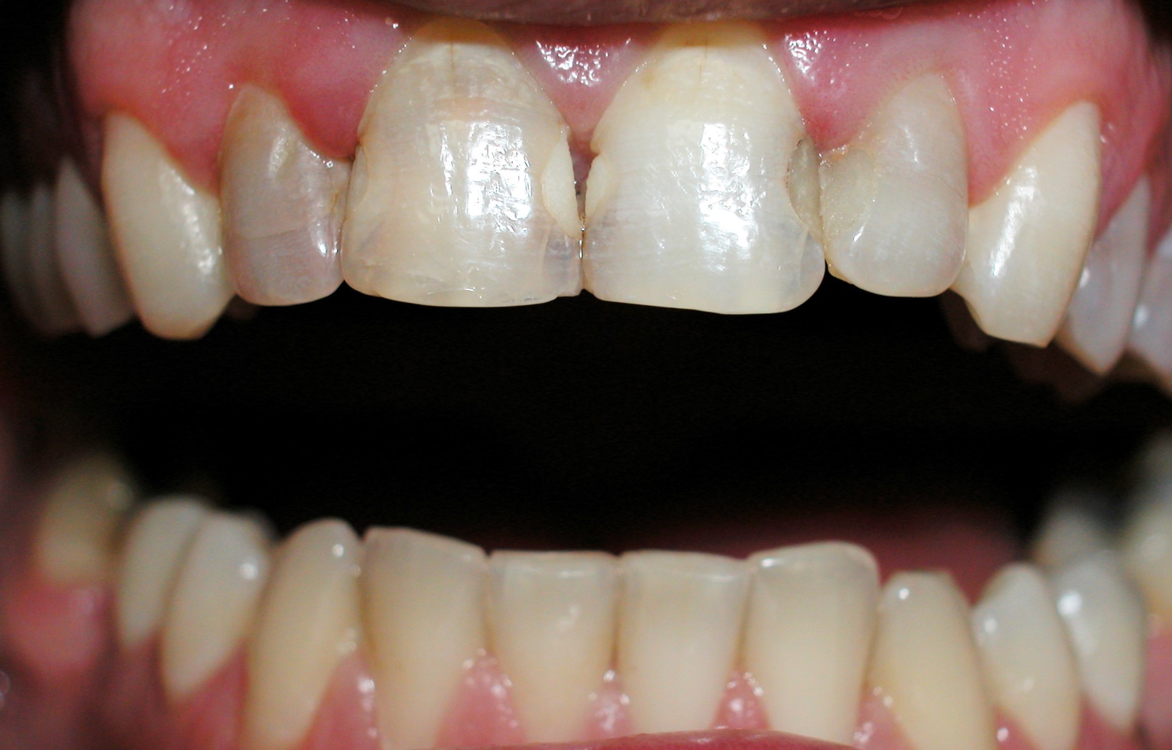
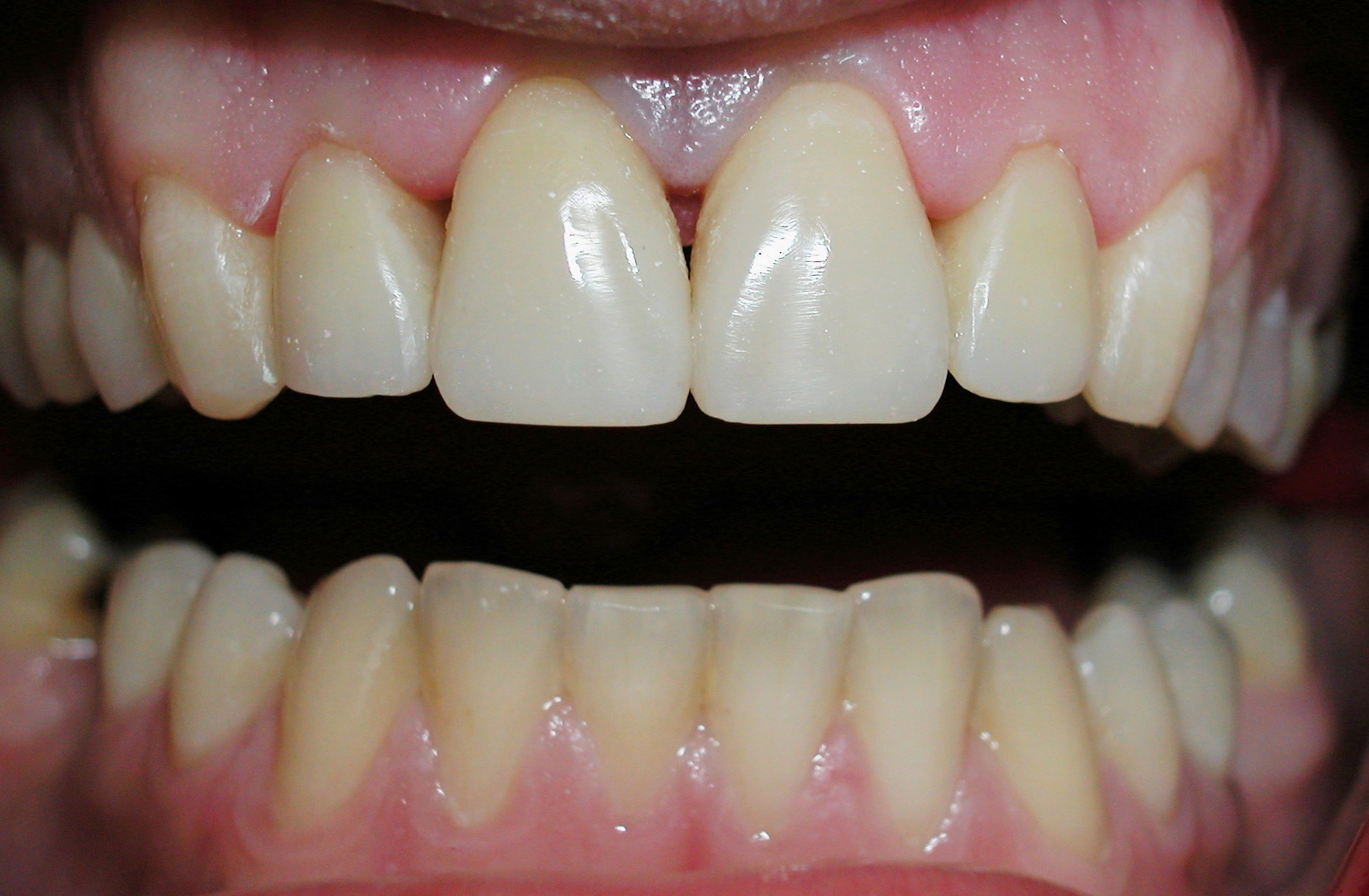
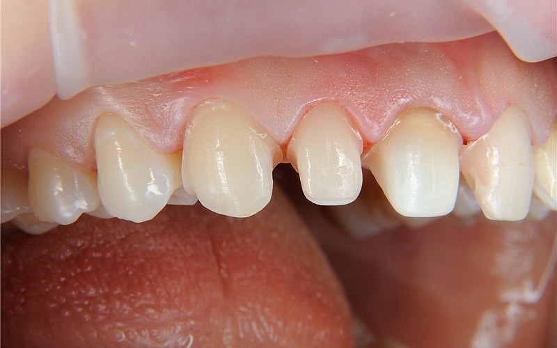
Cazul clinic №8
Fațete ceramice (sau veneers, vinire)
Жалобы пациента: повышенная чувствительность зубов, трещины эмали, изъеденность зубов у десны и стертость режущего края зубов.
Произведено комплексное лечение: восстановление и поднятие высоты прикуса, а также протезирование керамическими винирами и вкладками из оксида циркония. Эстетические и функциональные проблемы пациента были решены полностью
Cazul clinic №2
Restaurarea estetică și proteza mobilizabilă
Pacientul nu este mulțumit de aspectul inestetic al dintilor și de absența parțiala a dinților de pe arcada inferioară.
S-a efectuat restaurarea estetică a 6 dinți frontali (inclusiv a caninilor), iar pe bresele laterale s-au aplicat proteze mobilizabile elastice Bredent, ca proteze temporare, pînă la aplicarea ulterioară a implanturilor.
Cazul clinic №3
Restaurarea estetică
Pacientul nu este mulțumit de prezența obturațiilor inestetice, apariția cariilor secundare la incisivii superiori.
S-a efectuat restaurarea estetică a incisivilor superiori (4 dinți).
Cazul clinic №6
Tratamentul cariei profunde a dinților molari permanenți
Foto din stînga sus: dinții pînă la tratament.
Foto din dreapta sus: dinții după curățarea țesuturilor afectate de carie.
Foto din stînga jos: dinții după tratament – restabilirea formei anatomice și culorii naturale.
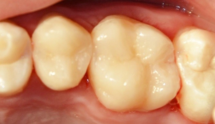
Cazul clinic №7
Tratamentul cariei medii a dinților molari permanenți.
Foto din stînga sus: dinții pînă la tratament – observăm obturațiile vechi.
Foto din dreapta sus: dinții după înlăturarea obturațiilor vechi.
Foto din stînga jos: dinții după curățarea țesuturilor afectate de carie.
Foto din dreapta jos: dinții după tratament – restabilirea formei anatomice și culorii naturale.
Cazul clinic №9
Fațete ceramice (sau veneers, vinire)
Imaginea de sus: aspectul extern al restaurărilor vechi, ce nu satisfac pacienta (formă, culoare şi refracţie nereuşită).
Imaginea de jos: aspectul extern al faţetelor (vinirelor) ceramice la momentul fixării.
Cazul clinic №4
Restaurarea estetică
Prezența cavităților carioase proximale la nivelul dinților incisivi (între 11 și 12 și între 21 și 22).
S-a afectuat prepararea miniinvazivă și, ulterior, restaurarea estetică.
Cazul clinic №5
Restaurarea estetică
Imaginea din stînga: starea dinţilor înainte de adresare la clinica «Jorge Dental Studio». Se observă numeroasele obturații; trei dinţi din faţă (11, 12 şi 22) au fost anterior supuşi unui tratament endodontic prin metoda cu rezorcină-formol, şi ca urmare dinţii au dobîndit o culoare maronie.
Imaginea din dreapta: starea dinţilor după tratament la clinica «Jorge Dental Studio». După retratamentul endodontic şi obturaţia canalelor cu thermafil, a fost efectuată restaurarea dinţilor cu materiale de firmă DENTSPLY Estet-X, luîndu-se în consideraţie legile biomimeticii.




















