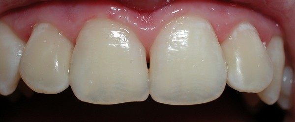
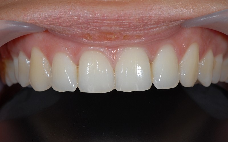
Клинический случай №1
Керамические виниры
Протезирование зубов при помощи керамических виниров с восстановлением индивидуальных особенностей. Благодаря «сколам эмали» на режущей поверхности, установленные виниры производят впечатление натуральных нетронутых зубов.
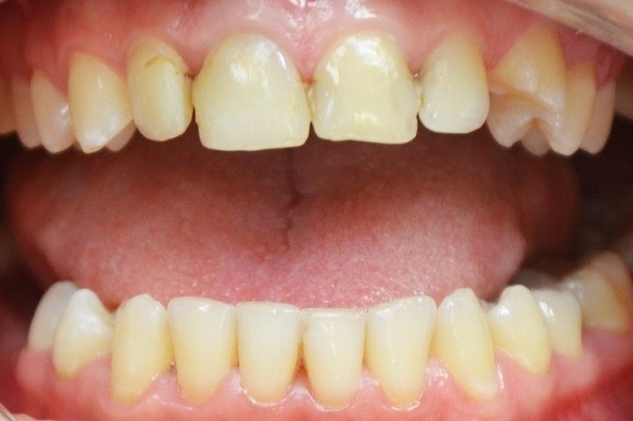
Клинический случай №8
Керамические виниры
Жалобы пациента: повышенная чувствительность зубов, трещины эмали, изъеденность зубов у десны и стертость режущего края зубов.
Произведено комплексное лечение: восстановление и поднятие высоты прикуса, а также протезирование керамическими винирами и вкладками из оксида циркония. Эстетические и функциональные проблемы пациента были решены полностью.
Клинический случай №2
Художественная реставрация и съемный протез
Пациент недоволен внешним видом зубов и отсутствием половины зубов на нижней челюсти.
Произведена художественная реставрация 6-ти зубов (от клыка до клыка), а также восполнение беззубых участков съемным протезом из эластичной пластмассы Bredent, как временное решение до постановки имплантатов.
Клинический случай №3
Художественная реставрация
Жалобы на неэстетичность пломб, наличие вторичного кариеса под пломбами верхних резцов.
Произведена художественная реставрация 4-х резцов.
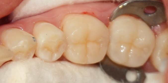
Клинический случай №6
Лечение глубокого кариеса коренных зубов
Фото верхнее слева: состояние зубов до начала лечения.
Фото верхнее справа: после препарирования (удаления пораженных кариесом тканей).
Фото внизу: после лечения и восстановления анатомической формы зубов.
Клинический случай №7
Лечение среднего кариеса коренных зубов
Лечащий врач – Георгий Чуперка.
Фото верхнее слева: состояние зубов до начала лечения – просматриваются старые пломбы.
Фото верхнее справа: состояние зубов после удаления пломб.
Фото нижнее слева: после препарирования (удаления пораженных кариесом тканей).
Фото нижнее справа: после лечения и восстановления анатомической формы зубов.
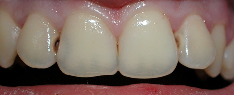
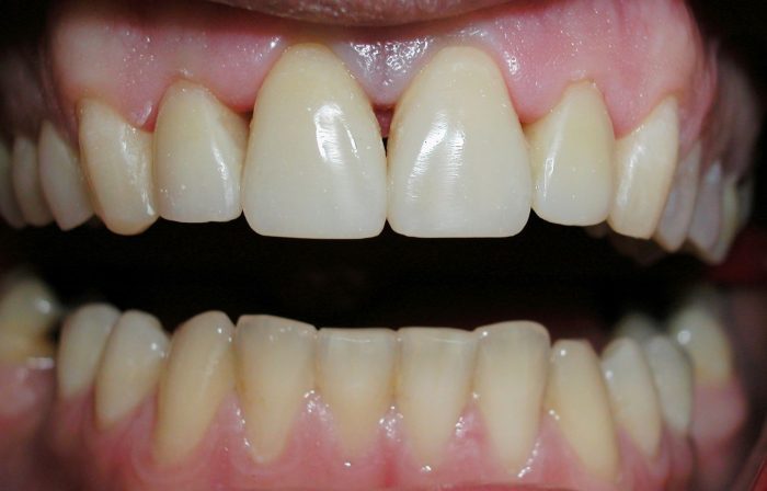
Керамические виниры
Вверху: Внешний вид старых реставраций, которые не удовлетворяют пациентку (неудачные форма, цвет и всетоприломление).
Внизу: Внешний вид керамических виниров на момент фиксации.
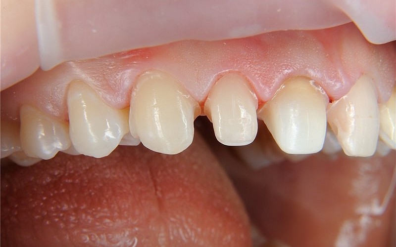
Клинический случай №4
Художественная реставрация
Наличие кариозных полостей на проксимальных сторонах верхних резцов (между 11-м и 12-м , 21-м и 22-м зубами).
Произведено миниинвазивное препарирование зубов с последующей художественной реставрацией.
Клинический случай №5
Художественная реставрация
Снимок слева: состояние зубов при обращении в клинику «Jorge Dental Studio». Просматриваются многочисленные пломбы; три передних зуба (11, 12 и 22-й) ранее подвергались эндодонтическому лечению резорцин-формалиновым методом, вследствие чего зубы приобрели бурую окраску.
Снимок справа: состояние зубов после лечения в клинике «Jorge Dental Studio». После эндодонтического перелечивания и пломбирования каналов термофилами произведена художественная реставрация зубов материалами фирмы DENTSPLY Estet-X с учетом закона биомиметики.





















